Fig. 2
From: The expression of MDM2 in gastrointestinal stromal tumors: immunohistochemical analysis of 35 cases

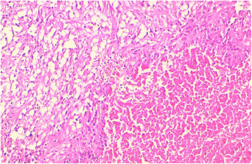
The histological view of a GIST tumor with prominent necrosis (HES × 200)
From: The expression of MDM2 in gastrointestinal stromal tumors: immunohistochemical analysis of 35 cases

The histological view of a GIST tumor with prominent necrosis (HES × 200)